Návštěvnost dne 8. března 2026 byla — 612 557 unikátních návštěvníků !
Návštěvnost dne 9. března 2026 byla — 590 729 unikátních návštěvníků !
Návštěvnost dne 10. března 2026 byla — 657 697 unikátních návštěvníků !
Hematologie
Z Multimediaexpo.cz
Hematologie je vědní obor, jenž se zabývá studiem krve a všemi jejími složkami. Studuje zejména buňky krve z hlediska jejich morfologie, kvantity a funkce. V druhé řadě se zabývá srážlivostí krve a všemi faktory, které se na srážení podílejí. Studuje mechanismy srážení, zpětné mechanismy apod. V hematologii se pracuje vždy s čerstvou nesraženou krví. Sražená krev, respektive sérum se používá v sérologii, biochemii a imunologii, ke stanovení jednotlivých organických molekul (proteiny, tuky, sacharidy) a makroprvků či mikroprvků.
Dělení hematologie
- obecná x speciální
- klasická (teoretická) x klinická
- humánní x veterinární
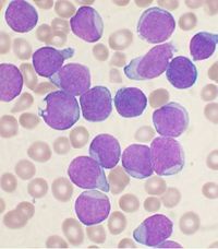
Hematologické vyšetření je velmi významnou složkou vyšetření pacienta, bez něhož se neobejde žádný lékař a proto každá nemocnice má ve své struktuře vždy začleněno oddělení klinické hematologie. Klinická hematologie sleduje odchylky v krvi pacienta od daného fyziologického stavu a napomáhá tak diagnostice onemocnění. V některých případech lze již na základě hematologického vyšetření stanovit přesnou diagnózu. Pomocí různých hematologických technik se zjišťuje celkový krevní obraz, diferenciální rozpočet leukocytů a faktory srážlivosti. mikroskopií specielně barvených hematologických preparátů (krevní nátěr na sklíčku) lze sledovat morfologii jednotlivých typů leukocytů a jejich počty. To má význam zejména při diagnostice leukémií, tj. rakoviny bílých krvinek.
Hematologické parametry
Mezi základní hematologické parametry patří:
- Hemoglobin = krevní barvivo obsažené v erytrocytech;
- Hematokrit = poměr buněčné složky krve k objemu plasmy;
- MCV = střední objem erytrocytu;
- MCH = obsah hemoglobinu v 1 erytrocytu;
- MCHC = střední koncentrace hemoglobinu v erytrocytech;
- Absolutní počet leukocytů = celkový počet všech leukocytů na objemovou jednotku krve;
- Absolutní počet erytrocytů = celkový počet všech erytrocytů na objemovou jednotku krve;
- Diferenciální rozpočet = je stanovení vzájemného poměrového zastoupení všech typů leukocytů (lymfocyty, neutrofily, tyčky, segmenty, eosinofily, basofily, retikulocyty, monocyty);
- testy srážlivosti – protrombinový čas apod.
Použitá literatura
- Doubek J. et al. 2003. Veterinární hematologie. Noviko. Brno. str. 464.
| Náklady na energie a provoz naší encyklopedie prudce vzrostly. Potřebujeme vaši podporu... Kolik ?? To je na Vás. Náš FIO účet — 2500575897 / 2010 |
|---|
| Informace o článku.
Článek je převzat z Wikipedie, otevřené encyklopedie, do které přispívají dobrovolníci z celého světa. |
