Návštěvnost dne 8. března 2026 byla — 612 557 unikátních návštěvníků !
Návštěvnost dne 9. března 2026 byla — 590 729 unikátních návštěvníků !
Návštěvnost dne 10. března 2026 byla — 657 697 unikátních návštěvníků !
Magnetická rezonance
Z Multimediaexpo.cz
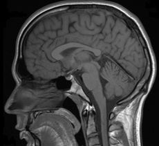
Magnetická rezonance (též MR, MRI, z anglického "magnetic resonance imaging") je zobrazovací technika používaná především ve zdravotnictví k zobrazení vnitřních orgánů lidského těla. S pomocí MRI je možné získat řezy určité oblasti těla, ty dále zpracovávat a spojovat až třeba k výslednému 3D obrazu požadovaného orgánu. Magnetická rezonance využívá velké magnetické pole a elektromagnetické vlnění s vysokou frekvencí. Nenese tedy žádná rizika způsobená zářením. Podstatou barevného odlišení jednotlivých tkání je jejich rozdílné chování při stejném vnějším působení. Jako synonymum bývá někdy používáno výrazu jaderná tomografie, od něho je ale upouštěno, protože mylně vzbuzuje dojem jakési souvislosti s jadernou energií. Více používaná zkratka MRI pochází z anglického sousloví Magnetic Resonance Imaging. Další rozvoj této metody vedl v poslední době k vývoji funkční magnetické rezonance (fMRI) a DTI = DT-MRI. Přístroj magnetické rezonance obsluhuje radiologický asistent.
Obsah |
Fyzikální princip
Fyzikální princip magnetické rezonance (MRI) představuje nukleární magnetická rezonance (NMR). Ta využívá skutečnosti, že protony stejně jako neutrony mají určitý vlastní moment tzv. spin díky němuž získává celé atomové jádro určitý magnetický moment. Pokud je takovéto rotující jádro umístěno v konstantním magnetickém poli \(B_0\) dochází k tomu, že se nasměruje podle působení tohoto pole a osa jádra bude lehce rotovat kolem směru působícího pole \(B_0\). Tento pohyb vzniká při každé změně působícího magnetického pole, dokud se jádro v dané poloze neustálí. Pokud vnější pole přestane působit, vrací se jádro do své původní klidové polohy. Pokud se přidá druhé kolmo působící (transverzální) pole \(B_T\) začne jádro opět rotovat. Aby byla jádra udržena ve stálém pohybu, používá se vysokofrekvenční magnetické pole, které současně rotuje v rovině XY. Dříve používaná pole o velikosti 0,2-0,5 Tesla nejsou dnes již obvyklá a nahrazují je přístroje s poli o velikostech kolem 7 Tesla (magnetické pole Země je v ČR zhruba 20 \(\mu\)T). Ve výzkumu jsou běžná pole až do velikosti 20 Tesla. Pro vyvolání rotačního pohybu kolem osy má každé jádro určitou rezonanční frekvenci, obvykle nazývanou jako vlastní frekvence. Ta závisí na působícím magnetickém poli a na vnitřní struktuře jádra. Vlastní frekvence pro vodík je při 1 Tesla 42,58 MHz, protože ze všech prvků je vodík v lidském těle nejpočetněji zastoupen, používá se právě frekvencí podobných této. Volbou velikosti prvního statického magnetického pole \(B_0\) a volby velikosti pro transverzální magnetické pole \(B_T\) se dá velice přesně určit, která jádra budou v rezonanci. Rezonancí je magnetický moment \(m\) jádra překlopen o 90° do roviny XY a osa pak rotuje podle transverzálního pole. Pokud je transverzální pole odpojeno, rotuje jádro stále v rovině XY. Přiblížením cívky do blízkosti rotujícího magnetického momentu se v ní indukuje napětí, které je následně měřeno. Zjednodušeně je velikost naměřeného napětí závislá na poloze a typu tkáně.
Vznik obrazu
Na základě naměřeného indukovaného napětí a dalších parametrů je signál pomocí složitých procesů a algoritmů převeden na škálu šedé. Právě kvůli tomu, že výsledný signál závisí na mnoha parametrech, nedá se použít žádné stupnice, která by přesně určila jednotlivé tkáně, proto se k interpretaci obrazů používá spíše rozhraní, na kterých se mění intensita signálu.
Vlastnosti
Přednosti magnetické rezonance
Výhodou MRI vůči ostatním zobrazovacím metodám v diagnostické radiologii je větší přesnost při zobrazení většiny orgánů, jež je důsledkem rozdílné intenzity signálu u odlišných měkkých tkání. Navíc toto zobrazení probíhá bez možného škodlivého ionisujícího záření. Některé orgány jako nervy či mozková tkáň bylo možné neinvazivně zobrazovat až právě pomocí MRI. Díky rozsahu nastavení vyšetření je možné dosáhnout rozlišení, které dalece přesahuje možnosti rentgenu či CT. Dalšího zlepšení může být ještě dosaženo podáním kontrastní látky, která pomůže odhalit přítomnost zánětů nebo nádorových tkání. Nový vývoj umožnil zkrátit časový interval získání jednoho snímku na několik milisekund. To umožnilo tzv. MRI-Fluoroskopii, při které jsou pohybující se orgány zobrazovány v reálném čase, což nachází široké uplatnění v intervenční radiologii.
Nevýhody magnetické rezonance
Hlavní nevýhodou této metody jsou vysoké pořizovací i provozní náklady, stejně jako vyšší časové nároky oproti jiným vyšetření. Pro pacienty jsou hlavním nebezpečím vedlejší účinky při přítomnosti kovových materiálů v těle, které se mohou zahřát a způsobovat nebezpečí. U nových materiálů by neměl být ale žádný problém. Větší nebezpečí hrozí u pacientů s kardiostimulátory a jinými elektrickými přístroji, u kterých je ve většině případů nemožné vyšetření provést. Ve srovnání s CT se artefakty vyskytují častěji a snižují kvalitu výsledného obrazu. Nedají se s tím vyšetřovat pohybující se části těla (typicky střevní kličky). Zatímco například CT vyšetření lze u moderních přístrojů vytvořit velmi rychle a tím vliv tohoto pohybu eliminovat, u magnetické rezonance to není možné.
Kontraindikace
- Kardiostimulátory. Především přístroje vyrobené před rokem 2000 mohou být během vyšetření poškozeny
Dnes už ale není vyšetření magnetickou rezonancí kontraindikováno pro všechny pacienty s kardiostimulátorem. Pacienti s kardiostimulátory SureScan od společnosti Medtronic mohou vyšetření pod dohledem kardiologa podstoupit.
- Kovová tělesa z feromagnetického materiálu v nevhodných místech (oko, mozek)
- První trimestr těhotenství
- Ušní implantáty, naslouchadla
- Velká tetování ve vyšetřované oblasti
- Klaustrofobie
Délka vyšetření
Trvání jednoho MRI vyšetření se odvíjí od vyšetřované části těla, požadavků ošetřujícího lékaře a používaného přístroje. Nejčastěji prováděná vyšetření trvají 10-30 minut. Čím větší je požadované rozlišení, tím se doba prodlužuje. Tento faktor musí být proto brán na zřetel vzhledem ke schopnostem pacienta vydržet danou dobu v klidu (starší lidé, zranění). U kojenců a dětí je obvykle nutná narkóza.
Výrobci MRI
- Bruker
- Esaote
- Fonar Corp., Melville, N.Y.
- General Electric
- Hitachi Medical Systems
- Philips Medical Systems
- Siemens Medical Solutions
- Toshiba
- VARIAN
Datový formát
Pro ukládání výsledků vyšetření se všeobecně úspěšně prosadil DICOM-Standard, takže je možné, aby si pacient po vyšetření odnesl své snímky na CD domů.
Historie
MRI byla jako zobrazovací NMR vyvíjena od roku 1973 dvojicí Paul C. Lauterbur a Peter Mansfield. Oba za své přispění k jejímu rozvoji získali v roce 2003 Nobelovu cenu za medicínu a fyziologii.
Související články
Externí odkazy
- Virtuální průvodce magnetickou rezonancí, nejčastěji kladené otázky
- Vyšetření na magnetické rezonanci na Klinice zobrazovacích metod Fakultní nemocnice Plzeň
|
| Náklady na energie a provoz naší encyklopedie prudce vzrostly. Potřebujeme vaši podporu... Kolik ?? To je na Vás. Náš FIO účet — 2500575897 / 2010 |
|---|
| Informace o článku.
Článek je převzat z Wikipedie, otevřené encyklopedie, do které přispívají dobrovolníci z celého světa. |
