Návštěvnost dne 8. března 2026 byla — 612 557 unikátních návštěvníků !
Návštěvnost dne 9. března 2026 byla — 590 729 unikátních návštěvníků !
Návštěvnost dne 10. března 2026 byla — 657 697 unikátních návštěvníků !
Zápal plic
Z Multimediaexpo.cz
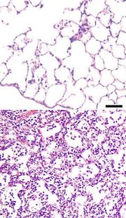
Zápal plic (pneumonie) je zánětlivé onemocnění plic. Obvykle je popisováno jako plicní parenchymální nebo alveolární zánět[1] doprovázený abnormálním plněním plic alveolární tekutinou (alveoly neboli plicní sklípky jsou mikroskopické vzduchem vyplněné váčky uvnitř plic, ve kterých probíhá výměna plynů mezi atmosférou a tělem).
Zápal plic může vzniknout z mnoha různých příčin – na podkladě infekce bakteriemi, viry, plísněmi, parazity nejčastěji šířením přenosem pomocí kapénkové infekce, nebo také jako následek chemického či fyzikálního poškození plicního parenchymu například vdechováním tuhých částic, či žaludečního obsahu.[2][3] Zápal plic může být také původu tzv. „idiopatického“ – bez známé příčiny.
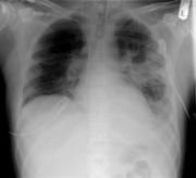
Příznaky zápalu plic jsou závislé na původci, který ho způsobuje a mohou se značně lišit.[1] Obecně se jako příznaky zápalu plic uvádí kašel, bolest na hrudi, horečka a obtížné dýchání. Diagnóza je stanovena na základě rentgenu plic a vyšetření sputa (tzv. chrchel, či hlen).[3] Léčba závisí na příčině zápalu plic, bakteriální infekce se léčí antibiotiky a podpůrnou symptomatologickou léčbou. Zápal plic je běžné onemocnění, které se postihuje všechny věkové skupiny a může být příčinou smrti u starších lidí[2][1] a lidí dlouhodobě nemocných. Proti některým typům zápalů plic existuje očkování jako například proti zápalu plic způsobené bakterií Streptococcus pneumoniae, či proti chřipkovým virům, kteří také mohou zápal plic vyvolat.[2] Prognóza onemocnění závisí na typu zápalu plic, na léčbě, komplikacích a na pacientově celkovém zdravotním stavu. Nejčastější formou zápalu plic bývá bronchopneumonie, kdy se zánět vyskytuje v oblasti průdušinek a okolních plicních tkáních. Zvláštním druhem zápalu plic je pak tuberkulóza.[2] Ohroženější skupinou obyvatelstva jsou kuřáci, lidi s oslabenou imunitou, či dlouhodobě nemocní pacienti.[3]
Obsah |
Objektivní a subjektivní příznaky
Pacienti s infekčním zápalem plic často mívají teplotu, kašel, pocit obtížného dýchání a bolest na hrudníku. Kašel bývá zpočátku dráždivý, později s vykašláváním sputa různého charakteru.[3] Horečka může být doprovázená zimnicí a třesavkou.[2] Bolest na hrudi se projevuje jako ostrá nebo bodavá bolest, která se vyskytuje nebo zhoršuje především při hlubokém dýchání nebo kašli. Nemocní se zápalem plic mohou mít také tzv. celkové příznaky - bolesti hlavy, kloubů a svalů,[2] ztrátu chuti k jídlu, pocit na zvracení, zvracení, změny nálady a zvýšenou únavu. Dalším možným projevem je vlhká a lepkavá kůže, popř. cyanóza (namodralá kůže a sliznice).[4] Méně časté typy zápalů plic mohou vyvolat i jiné příznaky. Zápal plic při tuberkulóze nebo pneumocystóze se může projevit pouze úbytkem na váze a nočním pocením. U starších lidí bývají příznaky zápalu plic atypické. Mohou zapříčinit nebo zhoršit zmatenost, či mohou vyvolat poruchu rovnováhy a následně pády. Malé děti mohou mít všechny výše zmíněné příznaky, ale v mnoha případech jsou pouze ospalé a trpí nechutenstvím.
Podezření na zápal plic vyžaduje okamžité vyšetření u lékaře.[2] Fyzikální vyšetření může odhalit horečku nebo někdy naopak sníženou tělesnou teplotu, zrychlené dýchání, snížený tlak krve, zrychlenou tepovou frekvenci, nebo nízkou saturaci kyslíkem (snížené množství kyslíku v krvi). Lidé s obtížným dýcháním, lidé zmatení, nebo ti co mají cyanózu (namodralé zbarvení kůže a sliznic) vyžadují okamžitou pozornost.
Nález při fyzikálním vyšetření plic může být normální, ale často ukazuje zhoršené rozpínání hrudníku na postižené straně. Při poslechu stetoskopem bývají nad postiženou oblastí slyšitelné přízvučné vlhké chrůpky a výjimečně se může objevit trubicové dýchání. Poklep nad postiženou plící může být ztemnělý, hrudní chvění (fremitus pectoralis) bývá zvýšené spíše než snížené, čímž se odlišuje od nálezu při pleurálním výpotku. Ačkoli jsou tyto příznaky významné, nejsou dostatečné ke stanovení diagnózy zápalu plic. Navíc studie prokázaly, že dva lékaři mohou určit rozdílné nálezy u stejného pacienta.[5][6] Pro diagnózu zápalu plic je rozhodujícím vyšetřením rentgenový snímek hrudníku.
Původce onemocnění
Může být způsoben řadou příčin – viry, bakteriemi, plísněmi, ale i chemickými látkami. Proti řadě původců zápalu plic existují vakcíny.
Bakterie
Nejčastěji je zápal plic způsobován bakteriemi rodu Streptococcus. Případě, že tyto produkují toxiny, vyskytuje se vyrážka, mluvíme o spále
Viry
Vzácněji může být pneumonie způsobena viry, jedná se nejčastěji o viry herpes.
Mykotické
Mykotický zápal plic se vyskytuje vzácně a pouze u chronicky nemocných pacientů.
Reference
- ↑ 1,0 1,1 1,2 Pharmanews.cz - ZÁPAL PLIC
- ↑ 2,0 2,1 2,2 2,3 2,4 2,5 2,6 Ordinace.cz - Zápal plic: Pneumonie
- ↑ 3,0 3,1 3,2 3,3 Nemoci.doktorka.cz - Zápal plic
- ↑ Pneumonia: update on diagnosis and management (anglicky)
- ↑ http://jama.ama-assn.org/cgi/reprint/278/17/1440
- ↑ Diagnosing Pneumonia by Physical Examination: Relevant or Relic?
|
| Náklady na energie a provoz naší encyklopedie prudce vzrostly. Potřebujeme vaši podporu... Kolik ?? To je na Vás. Náš FIO účet — 2500575897 / 2010 |
|---|
| Informace o článku.
Článek je převzat z Wikipedie, otevřené encyklopedie, do které přispívají dobrovolníci z celého světa. |
