Návštěvnost naší encyklopedie dnes trhá všechny historické rekordy !!
Návštěvnost dne 8. března 2026 byla — 612 557 unikátních návštěvníků !
Návštěvnost dne 9. března 2026 byla — 590 729 unikátních návštěvníků !
Návštěvnost dne 10. března 2026 byla — 657 697 unikátních návštěvníků !
Návštěvnost dne 8. března 2026 byla — 612 557 unikátních návštěvníků !
Návštěvnost dne 9. března 2026 byla — 590 729 unikátních návštěvníků !
Návštěvnost dne 10. března 2026 byla — 657 697 unikátních návštěvníků !
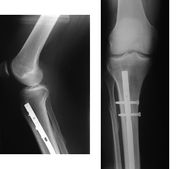
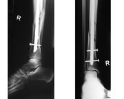
Zlomenina
Z Multimediaexpo.cz
Zlomenina (latinsky Fractura) je stav, při kterém došlo k porušení kontinuity kosti.
Obsah |
Typy zlomenin
Zlomeniny dělíme na:
- Infrakce (částečné nalomení kosti)
- Fisura (trhlina na dlouhých kostech nebo na lebečních kostech)
- Epifyzeolýza (traumatické porušení kontinuity růstové ploténky)
- Luxační zlomenina (doprovázená vykloubením kloubu)
- Kompresivní zlomenina (typická u bederních obratlů při tlakové zátěži)
- Impresivní zlomenina kosti (stav, kdy je kostní plocha vmáčknuta kostní tkáně)
- Subperiostální zlomenina (stav, kdy není porušen periost)
- Patologická zlomenina (v místě předchozího poškození kosti, například cystou nebo nádorem)
- Zlomenina s dislokací nebo bez dislokace (s posunutím kostních úlomků nebo bez jejich posunu)
- Únavová zlomenina (bez zjevného vyvolávacího traumatu, například zlomeniny zánártních kostí po dlouhých pochodech)
Dle místa vzniku
- Přímá (v místě působení síly)
- Nepřímá (na místě vzdáleném od působení síly)
Dle poruchy kožního krytu
- Otevřená (došlo k poruše kožního krytu)
- Zavřená (není porušen kožní kryt)
Dle lomné linie
- Příčná
- Spirálovitá
- Šikmá
- Tříštivá
Dle dislokace kostních úlomků
Úhlová, rotační, do strany, do strany se zkrácením, do délky s odtažením
Příznaky
- Jisté - patologická pohyblivost, krepitace, typická deformace, pozitivní RTG nález
- Nejisté - otok, bolestivost, deformace, porucha funkce, hematom
Léčení
- Repozice je základem (repozicí se myslí napravení dislokace kostních úlomků)
- Imobilizace neboli znehybnění (nejstarší způsob léčení zlomenin, dnes klasickou sádrovou dlahou nebo modernější plastový obvaz, někdy postačí znehybnění končetiny zvláštním obvazem (například zlomenina klíční kosti) nebo jen klidový režim a léky tlumící bolest(například nekomplikovaná zlomenina jednoho žebra). Klidový režim a následná rehabilitace ve zvláštním korzetu je podstatou léčby nekomplikovaných zlomenin bederních a hrudních obratlů.
- Osteosynthesa znamená operační řešení, při kterém je kost zpevněna nejčastěji kovovým materiálem, kterým je nějaký druh nerezové oceli nebo titanu, který se po čase buď vyjme, nebo někdy i ponechá. Existuje řada metod, od jednoduchých cerkláží ocelovými dráty, přes šrouby doplněné dlahami až po nejrůznější systémy hřebování s předvrtáváním nebo bez něj (hřeb znamená navlečení nejčastěji dlouhé a duté kosti na pevný a dlouhý ocelový profil, který je na konci zafixován šrouby. Po čase se šrouby na jednom zpravidla distálním (vzdáleném) konci vyjmou, čemuž se říká dynamizace).
- Zevní fixace je navrtání speciálních hřebů někdy se závity na konci do kostních úlomků skrze kůži a jejich upevnění vně končetiny do zevního fixatéru (nejlépe si ho představíte jako stavebnici Merkur, do které zafixujete hřeby a můžete s nimi různě manipulovat a ve vhodné poloze to všechno zafixujete). Existuje řada tuzemských i zahraničních systémů, což platí pro všechny typy operačních metod.
- Náhrady, čímž se myslí například náhrada horního konce stehenní kosti po jeho zlomení (takzvaná CKP neboli cervikokapitální prothesa), nebo náhrada téhož včetně kloubní jamky (TEP neboli totální endoprothesa). Vzhledem k tomu, že tento typ zlomeniny je častý ve vyšším věku, kdy je obvykle přítomno i značné opotřebení chrupavek (artróza), je to pro pacienty řešení i do budoucna. Existují náhrady nejenom kyčle, ale i kolena, hlezna, ramene a lokte. Klouby na prstech lze nahradit implantáty z kvalitního silikonu. Lze nahradit těla obratlů, nebo část lebečních kostí. Mezi náhrady se mohou řadit i transplantace vlastní kostní tkáně.
- Klidový režim následovaný časnou rehabilitací je metodou volby u značně nemocných a starých pacientů, kde je velká pravděpodobnost, že by nepřežili některý z výše uvedených operačních zákroků. Tato volba jim sice přinese invaliditu, ale dává jim v některých případech vyšší (nebo možná jedinou) šanci na přežití.
- Amputace. Jakkoliv to zní tvrdě, je v některých případech amputace značně zdevastované končetiny vhodnější metodou nežli zdlouhavé, bolestivé a v neposlední řadě i značně nákladné pokusy o vyléčení, které vyústí v nefunkční nehybnou a překážející končetinu. V takovém případě je (přísně individuálně) někdy vhodnější končetinu časně amputovat a nahradit protézou. Tím více to platí pro výjimečné situace, jako jsou rozsáhlé živelní pohromy, nebo válka, kdy nikdy nebude dosti prostředků na ideální léčbu všech. Lze sem zařadit i amputaci například hlavičky vřetenní kosti u jejího roztříštění a značné dislokaci úlomků, což sice není ideální, ale přinese to v některých případech lepší funkční výsledek než jiné operační postupy.
Literatura
| Náklady na energie a provoz naší encyklopedie prudce vzrostly. Potřebujeme vaši podporu... Kolik ?? To je na Vás. Náš FIO účet — 2500575897 / 2010 |
|---|
| Informace o článku.
Článek je převzat z Wikipedie, otevřené encyklopedie, do které přispívají dobrovolníci z celého světa. |
