The final launch of the Allmultimedia.org will take place on February 24, 2026
(shortly after the 2026 Winter Olympics).
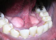
Zubní kámen
Z Multimediaexpo.cz
Zubní kámen se tvoří ze zubního plaku, na kterém se ukládají minerální látky ze slin a zbytků potravin. Původně měkký a snadno odstranitelný povlak již nelze odstranit za pomoci zubní pasty a kartáčku. Ze zubního kamene se uvolňují látky, které jsou pro dásně dráždivé a agresivní. Dásně jsou posléze zčervenalé, oteklé, a když jsou zanícené, vzniká tzv. zánět dásní. Zubní kámen nikdy nezpůsobuje bolest, ale je příčinou vzniku zánětu dásní a ten již bolest způsobuje.
Odstranění zubního kamene
Existují zubní pasty, které jsou speciálně určené proti vzniku zubního kamene. Ty ale působí skutečně jen proti jeho vzniku. Již existující zubní kámen nelze odstranit jakoukoli volně prodejnou zubní pastou. Zubní kámen se odstraňuje buď ultrazvukem nebo mechanicky ručními nástroji a pastou. Tento zákrok provádí zubní lékař.
| Náklady na energie a provoz naší encyklopedie prudce vzrostly. Potřebujeme vaši podporu... Kolik ?? To je na Vás. Náš FIO účet — 2500575897 / 2010 |
|---|
| Informace o článku.
Článek je převzat z Wikipedie, otevřené encyklopedie, do které přispívají dobrovolníci z celého světa. |
